Theresia Fischer, a former Germany’s Next Top Model contestant, captured global attention for her dramatic decision to undergo leg-lengthening surgery. Spending over €150,400 ($162,340) from 2016 to 2022, she gained an additional 14 centimeters in height. However, this transformation came with severe health consequences, including chronic pain, bone infections, and career setbacks. Fischer’s journey serves as a stark reminder of the physical and emotional toll that can accompany extreme cosmetic procedures.
The Rise to Fame: Theresia Fischer’s Unconventional Choice
German reality TV star Theresia Fischer made headlines worldwide for her bold decision to undergo leg-lengthening surgery. Known for her appearance on Germany’s Next Top Model, Fischer invested over €150,400 ($162,340) in procedures between 2016 and 2022 to increase her height from 1.70 meters to 1.84 meters. While the transformation initially brought her attention and admiration, the aftermath proved to be far from glamorous.

Video
Watch this video to hear former GNTM contestant Theresia Fischer reveal the real reason she had her legs lengthened!
The Leg-Lengthening Journey: From Dreams to Reality
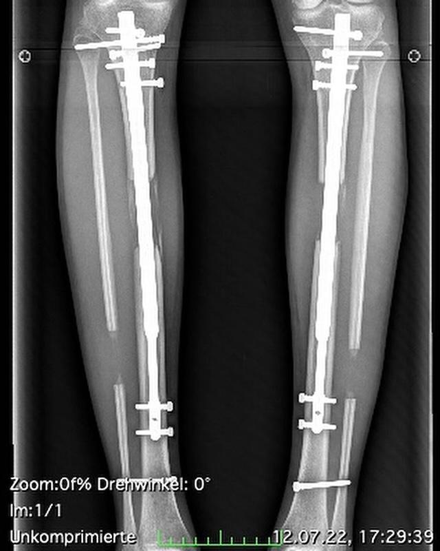
Theresia’s leg-lengthening journey involved multiple surgeries that spanned several years. The process began with an osteotomy, where surgeons cut her thigh and shin bones into two segments. Metal rods were then inserted to gradually separate the bone segments, allowing new bone tissue to form in the gap. Surgeons used two types of devices for this procedure:
- External Fixators: These light metal frames, attached to the bones with pins and wires, protrude several inches from the body. Patients or caregivers manually adjust the screws to achieve the desired length.
- Internal Rods: This newer method involves implanting a screw-like device inside the bone, which can be adjusted using a remote control to trigger magnetic or mechanical elongation.
Theresia underwent multiple rounds of surgery, enduring immense pain and discomfort as her legs were stretched by approximately one millimeter per day.

The Cost of Beauty: Health Complications and Struggles
While Fischer achieved her desired height increase of 14 centimeters, the physical toll was far greater than she anticipated. By 2022, the cumulative strain on her body led to severe complications, including periostitis, a painful inflammation of the periosteum—the protective tissue surrounding bones. This condition resulted from the repeated stress of five surgeries on her left leg alone.
Additionally, Fischer suffered two instances of bone infections, further complicating her recovery. The pain became so debilitating that she had to rely on painkillers to manage daily activities. Running or even walking quickly proved challenging, as the presence of metal rods altered her natural gait.

Career Setbacks: Reality TV Dreams on Hold
The health issues stemming from her surgeries forced Fischer to step away from her career. In early 2024, she was set to participate in the German reality show Battle of the Reality Stars, filmed in Thailand. However, upon arriving for the shoot, Fischer’s deteriorating physical condition led to her withdrawal from the competition.
Speaking to German media outlet Bunte, she revealed: “I had terrible pain in my left lower leg. The periostitis was caused by having so many operations. It’s just strange to run with metal in your legs.”

Lingering Hope: Waiting for a Fresh Start
Despite the hardships, Fischer remains hopeful for the future. During a recent health check, she discovered that the fibula bone in one of her legs had not grown as intended. Now, her primary goal is to have the metal support rods removed, a milestone she eagerly anticipates.
“I’m longing for that day when these rods finally come out,” Fischer expressed, reflecting on her desire to reclaim her mobility and quality of life.

Understanding Limb-Lengthening Surgery: A Complex Procedure
Limb-lengthening surgery, while originally designed to treat conditions like skeletal dysplasia and bone deformities, has gained popularity for cosmetic purposes. The process involves two key phases:
- Osteotomy: The bone is cut into two segments.
- Bone Distraction: A limb-lengthening device gradually separates the bone segments, allowing new bone tissue to form in the gap.
Depending on the device used—external fixators or internal rods—patients must endure months of recovery while adhering to strict physical therapy regimens.

Risks and Realities: What the Surgeons Say
Orthopedic experts, including Dr. James Kasser from Boston Children’s Hospital, warn that limb-lengthening carries significant risks. These include nerve and muscle damage, joint contracture, bone infections, and even arthritis.
Dr. Carley Vuillermin, another specialist in the field, emphasized: “Everyone undergoing limb lengthening will have complications. It’s a matter of what those complications will be and how quickly we can detect and reverse them.”

Conclusion: A Cautionary Tale of Beauty and Sacrifice
Theresia Fischer’s story serves as a sobering reminder of the high price that can come with cosmetic enhancements. While her pursuit of height brought temporary satisfaction, the long-term consequences have overshadowed the initial allure. Today, Fischer’s focus is no longer on appearance but on regaining her health and mobility—a pursuit far more valuable than any cosmetic achievement.
Video
Watch this video to see how Theresia Fischer maintains her leg length daily after surgery!